〒104-0061 東京都中央区銀座3-12-5 第2宏和ビル2F

診療時間
午前
午後

午前:10:00~13:00(最終受付12:30)
午後:14:30~19:00(最終受付18:00)
休診日:土曜・日曜・祝日

ご予約・お問合せはこちらへ

電話対応時間:8:30~18:30
03-3541-9347

保険外の治療費(自費)について

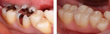
インレー(部分的な詰め物)

初期虫歯に行う治療方法です。

下顎の場合奥歯まで見えることが予想されますので、セラミックなどの歯牙同色素材を使うことにより、スッキリした印象となります。

プラチナゴールドで施術する場合、上顎臼歯のまず見えないところに使用します。

形や大きさによって、金額は変ってしまいます。

通常1~2本の処置は2回の来院で施術可能です。

セラミック

1本¥80000~ 

プラチナ・ゴールド

1本¥90000~

ハイブリッドレジン

1本¥50000~

フルクラウン(全部被覆状態)

歯牙全体を覆う方法で、FCK(フルクラウン)と呼びます。

セラミックなど周りと調和のとれた歯牙は美しく、全く気にならない状態へと変化させます。

プラチナゴールドはまず見えない部位でしたら安心して使用できます。

通常1~2本の処置は3回~5回の来院で施術可能です。

セラミック

¥128000

プラチナ・ゴールド

¥200000(貴金属の相場によります)

ハイブリッドレジン

¥90000

ラミネートべニア(歯牙表面に
薄く貼り付けるタイプ)

歯牙の表面のみとても薄く削り、表面にセラミックを貼り付けます。

歯牙裏側は全く削っておりません。

歯牙削除量は極端に少ないですが、嚙み合わせ状態により施術できないケースも多々あります。

通常1~2本の処置は2回の来院で施術可能です。

ラミネートべニア

1本  ¥120000

インプラント

人工的な歯根を顎骨内に埋入し、治癒後上部構造体を付与し機能させます。

大きく分けて単独で機能させる 差し歯 ブリッジタイプ 義歯(入れ歯)のアンカータイプとになります。

義歯用アンカー
(アタッチメント)として

埋入手術       ¥210000/1

義歯用アタッチメント ¥75000/1本

差し歯として(セラミッククラウン)

埋入手術      ¥210000/1

上部構造      ¥155000/1本

 

骨のボリュームが少ない時、以下の手術を追加する必要があります

歯槽骨増大手術   ¥110000/1本

義歯(脱着式入れ歯

唯一着脱式装置として機能させるいわゆる”入れ歯”です。

従来型の方法ですが、最大のメリットは前後の歯牙などへの加工が少ない方法です。

着脱の煩わしさや金具周りの汚れ付着は避けられません。

材質によりいろいろあります。

プラスチック製義歯は強度を厚みで補正しますので薄くするには限界があります。

金属フレームのものは強度もあり、しかも極薄くすることが可能となります。

 

キャストクラスプ義歯

1箇所¥30000~

メタルフリー義歯

1箇所¥75000~

金属フレーム
コバルト

¥325000

金属フレーム
チタン

¥480000

金属フレーム
プラチナゴールド

¥1500000~

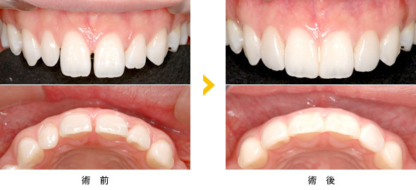
マウスピース矯正

診療所で上下歯の型を取るだけで矯正を行う事が出来ます!

全ての症例での施術は無理ですが、手軽に行えるため人気の矯正です。

また矯正器具(ブラケット)が見えないため非常にスッキリとした印象です。

デメリットとしては、複雑な歯の移動には不向きです。

とっても手軽で簡単装着! 

全体的¥850000

部分的¥200000~

基本月1回位の来院ペースで行えます。透明なマウスピースで行えるので、周囲にわからず治療可能。食事時には外して飲食できます!

※複雑なケースは矯正専門医へご紹介することも可能です。

ホワイトニング

歯牙を白くする施術です。 白い歯は健康的であり、表情も明るくなります。物事に積極的になったり、笑顔が増えたりします。

基本夜間就寝時に装着して起床時に外す事を繰り返します。使用する度に白くなりますので、通常7日程で完了いたします。

白くなるのは天然状態の歯牙のみで、差し歯や詰め物には作用いたしません。

一度マウスピースを作成してしまえば大幅な歯の処置が無い限りずっと使用できますので、

薬剤のみ買い足して頂ければすぐに再度行えるのも魅力です!

さぁ、はじめよう!

銀座デンタルクリニックでは、ご自宅で行っていただくタイプ(型取り)のホワイトニングを実施いたしております。

(スケジュールに合わせ、お好きなタイミングで始められます。)

上下のマウスピースと薬剤の7日間用セットで、なんと ¥14000!

※追加薬剤 ¥4200!!

検診・歯石とり・歯のクリーニング・フッ素塗布などもご予約いただけます。3か月先のご予約もお気軽にどうぞ。

電話対応時間:8:30〜18:30
03-3541-9347

診療時間

 
午前
午後

午前:10:00~13:00(最終受付12:30)
​午後:14:30~19:00(最終受付18:00)

休診日:土曜・日曜・祝日    

電話対応時間:8:30〜18:30
03-3541-9347

〒104-0061
東京都中央区銀座3-12-5 第2宏和ビル2F
日比谷線・都営浅草線「東銀座駅」3番歌舞伎座出口より徒歩3分
「東銀座駅」A7出口より徒歩2分
丸ノ内線・銀座線・日比谷線「銀座駅」A7三越出口より徒歩6分
有楽町線「銀座1丁目駅」11番出口より徒歩4分
有楽町線「新富町駅」1番区役所出口より徒歩5分
JR「有楽町駅」京橋口より徒歩12分
JR「東京駅」八重洲口より徒歩15分、タクシー5分